טיפול בגידולים ממאירים, גרורות METASTASES

רדיוכירורגיה יעילה מאוד לטיפול בגרורות מוחיות שמקורן בגידולים שהתפתחו באיברים שונים בגוף. בכליות, במעי הגס, בעור (מלנומה melanoma), בשד ובריאות.
בשנים האחרונות, רדיוכירורגיה היא השיטה העיקרית לטיפול במחלה גרורתית מוחית, עם אחוזי הצלחה העוברים את ה- 90%.

מחלה רב מוקדית Multiple Brain Metastases

ברוב המכריע של המקרים, מחלה גרורתית במוח היא רב מוקדית.
לניתוח נוירוכירורגי קונבנציונלי תפקיד מוגבל בטיפול במחלה זו. מאחר וכריתה ניתוחית של מספר רב של מוקדים תוך-מוחיים היא מורכבת ואינה מיטיבה עם המטופל.
השיטה הקלאסית שהיתה נהוגה לטיפול במצבים אלו, היא רדיותרפיה כלל-מוחית (Whole Brain Radiotherapy). שיטה בה כל רקמת המוח נחשפת למנות קרינה גבוהות. לחשיפה כזו פוטנציאל גבוה לגרימת נזק לרקמה הבריאה ולהפרעה תפקודית, שתפגע באיכות חיי המטופל.
הרדיוכירורגיה חוללה מהפכה בטיפול בגרורות מוחיות. הודות לכך שהיא מאפשרת לטפל באופן נקודתי במספר רב של מוקדים במוח. זאת תוך כדי מזעור הסיכון לפגיעה ברקמת המוח הבריאה.
כשם שהם גדלים מהר, כך הגידולים הממאירים נעלמים במהרה אחרי רדיוכירורגיה. בדרך-כלל תוך מספר שבועות.

ברדיוכירורגיה הקלאסית, ככל שמספר הגרורות עולה, כך עולה הזמן הנדרש לטיפול בהן. טיפול במוקד אחד אורך כ- 20 דקות בממוצע. כך שטיפול ביותר מ- 3 מוקדים מכביד על המטופל ולרוב מצריך חלוקה של הטיפול למספר ססיות טיפוליות.

בשנת 2014 לראשונה בעולם, הושק בבי"ח אסותא ת"א בהובלת ד"ר שפיגלמן, טיפול רדיוכירורגי במחלה גרורתית רב מוקדית במוח. בשיטה המאפשרת הקרנה בו זמנית של מספר רב של גושים גרורתיים בזמן הנדרש להקרנת מוקד בודד.
שיטה זו, זמינה רק במכשיר ה- NOVALIS (מאיץ קווי ייעודי לטיפול ברדיוכירורגיה) של חברת BrainLab. היא חוללה מהפכה בטיפול במחלה גרורתית מוחית, והביאה למעשה לביטול הצורך בקרינה כלל מוחית במרבית החולים.

האם יש מקום לכריתה ניתוחית?

לניתוח נוירוכירורגי קונבנציונלי יש עדין מקום בטיפול בגידול גרורתי במוח. בעיקר כאשר מדובר בגידול גדול הגורם לפגיעה תפקודית משמעותית. ההחלטה על הדרך הטיפולית המועדפת נעשית באופן פרטני.
ד"ר שפיגלמן מתמחה בטיפול משולב, ניתוחי ורדיוכירורגי, בגידולים גרורתיים במוח.

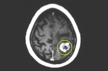
תיאור מקרה:

בדוגמה שבתמונות, רדיוכירורגיה הופעלה כדי לטפל בגרורה בעלת נפח די גדול בסמיכות לקליפה המוטורית של המוח (האזור ששולט על התנועות בגפיים בפלג הגוף הנגדי).
ללא צורך באשפוז, הרדמה או חתך ובשהיה של שעות ספורות בבית החולים. ההקרנה המדויקת והחדה חיסלה לחלוטין את הגוש הגרורתי שנעלם בהדרגה.
היום רדיוכירורגיה סטריאוטקטית היא השיטה המועדפת לטיפול בגרורות במוח. במכשיר NOVALIS שבבית חולים אסותא, ניתן לטפל בו זמנית במספר רב של גרורות במוח. באותו פרק זמן שנדרש לטיפול בגרורה אחת.

טיפול בגידולים ממאירים

בזמן הרדיוכירורגיה

טיפול בגידולים ממאירים

כעבור חודשיים

טיפול במספר רב של גרורות בו זמנית :

דילוג לתוכן